TUMOR DE CÉLULAS GRANULARES DE LA NEUROHIPOFISIS.PRESENTACIÓN DE UN CASO.
1. Cd 68
| Asunto | |
| Tipo | Instrumentación |
| Ver (27KB) Indexación de metadatos |
2. laminas histologica proteina acida gliofibrilar ( GFAP )
| Asunto | tumor de celulas granulares de neurohipofisis ; lesion supraselar ; hemianopsia bitemporal |
| Tipo | Resultados de la investigación |
| Ver (4MB) Indexación de metadatos |
3. hematoxilina y eosina
| Asunto | |
| Tipo | Instrumentación |
| Ver (5MB) Indexación de metadatos |
4. S-100
| Asunto | |
| Tipo | Instrumentación |
| Ver (6MB) Indexación de metadatos |
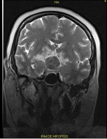
5. RMN de hipofisis
| Asunto | |
| Tipo | Instrumentación |
| Ver (62KB) Indexación de metadatos |